Слабонервным не смотреть! Женщина 25 лет не убирала с глаз косметику и в результате чуть не ослепла
У современной жизни совершенно бешеный темп.
Работа, домашние дела, хочется успеть и туда, и сюда.
В итоге многие из нас, придя домой, просто валятся с ног.
Какие уж тут полчаса в ванной? Не до этого.
Но последствия таких 'в следующий раз сделаю', оказывается, самые серьезные...
Читайте историю нашей героини и мотайте на ус.
Только учтите, что фотографии действительно не для слабонервных. Если вы морально не готовы, лучше не смотрите!!!
50-летняя Тереза Линч, уборщица одного из австралийскийх отелей, на протяжении 25 лет не убирала косметику с глаз. В результате женщина чуть не ослепла...

Все началось с внезапно появившейся аллергии, которая стала довольно сильно мешать женщине. Американка решила отправиться в местную клинику.
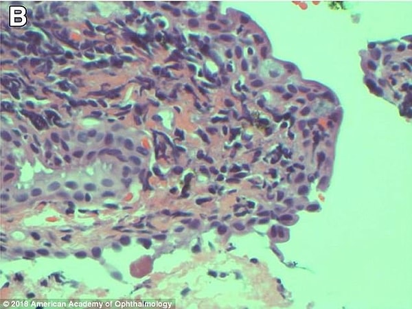
Врач, поняв, что произошло, долго не мог прийти в себя. Глаза женщины были, мягко говоря, в плачевном состоянии.

Проблема в том, что женщина не убирала тушь с ресниц перед сном. В итоге под кожей образовалось что-то похожее на черные точки.

Мало того, что они проникли глубоко, они еще и наложились друг на друга, в несколько слоев.

Врач Терезы признался, что видит такое впервые за долгие годы работы в своей должности.

Вот как ситуация выглядит на медицинских снимках:

'Все это копилось под кожей годами, поскольку Тереза тщательно не убирала тушь с глаз. Теперь всякий раз, когда Тереза открывает или закрывает глаза, все это приближается к глазному яблоку, тем самым вызывая дискмофортные и неприятные ощущения, которые сильно мешают. На самом деле, это очень большой риск для зрения. Ведь если бы в этих местах была бы рана или порез, женщина запросто могла бы подхватить инфекцию, которая могла грозить ей потерей зрения'
Тереза была прооперирована, глаза были полностью очищены за полтора часа.

Врач с разрешения женщины после операции опубликовал небольшую научную работу относительно данного происшествия.
Кроме того, доктор, конечно же, подчеркнул, что косметику с лица необходимо убирать ежедневно и аккуратно.
Шаг 1: Сначала нанесите на ватный тампон специальное средство для снятия макияжа с глаз. Подержите его несколько секунд на глазах, а затем удаляйте косметику плавными движениями.
Шаг 2: После средства нанесите молочко для снятия макияжа и протрите им еще раз те же места, после чего просто сполосните лицо водой или специальными влажными салфетками.
Источник: dailymail.co.uk.
Keşfet ile ziyaret ettiğin tüm kategorileri tek akışta gör!


Напишите комментарий