20 удивительных случаев из медицины, которые оставят вас с открытым ртом (Часть 2)
За 3 года существования онлайн-сообщество r / MEDizzy, созданное для медицинских профессионалов, чтобы обсуждать все, что они увидели за время врачебной практики, увидело немало интересных сообщений. Вот небольшая часть из них.
Читайте продолжение новости внизу

Реклама
1. Тестирование хирургического робота Davinci в операционной игре

Читайте продолжение новости внизу

Реклама
2. Вот как выглядят нервы, связанные с зубами

3. Так выглядит глаз после кератопротеза: хирургическая процедура, при которой больная роговица заменяется искусственной

4. Медсестры начала прошлого века дают младенцам с желтухой немного лечения солнечным светом

5. До и после хирургии челюсти и ринопластики

Читайте продолжение новости внизу

Реклама
6. Это состояние называется синдромом зеркальной руки. Было диагностировано менее 100 случаев, а причина до сих пор неизвестна.

7. Лошадиные легкие полностью наполненные воздухом

8. Божья коровка обнаружена в поперечной ободочной кишке во время скрининговой колоноскопии

9. Случай столбняка у непривитого ребенка

10. Вот почему нужно носить каску

Читайте продолжение новости внизу

Реклама
11. Удаленный зуб с неповрежденным корнем нерва - редкость

12. Мужчина откашливает огромный сгусток крови, оформленный его легкими

13. Недавнее исследование, опубликованное в журнале Sage Medical, описывает случай 30-летней женщины, чей силиконовый грудной имплант отразил пулю, спасая при этом ее жизнь - Медицинское дело

14. Сканирующая электронная микрофотография естественной клетки-убийцы, противостоящей более крупной раковой клетке

15. Арахис, застрявший в трахее ребенка

Читайте продолжение новости внизу

Реклама
16. Церебро-спинномозговая нервная система

17. Чего только не увидишь в отделении неотложной помощи

18. Сифилис черепа. Венерические заболевания

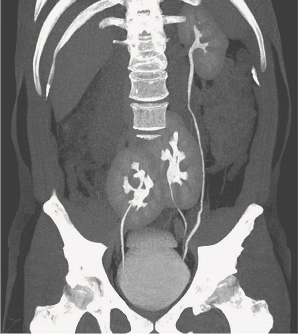
19. У мужчины обнаружены три почки! - Медицинский случай

20. Как выглядит человек в очках -108 с диоптриями

Keşfet ile ziyaret ettiğin tüm kategorileri tek akışta gör!
Эмодзи и комментарии внизу

Реклама



Напишите комментарий