15 частей человеческого тела, которые могут исчезнуть в ближайшем будущем
Человеческое тело продолжает эволюционировать и приспосабливаться к внешней среде даже сейчас, поэтому нет ничего удивительного в том, что некоторое время спустя оно будет выглядеть не совсем так, как мы привыкли. Некоторые изменения мы можем наблюдать уже сейчас: не у всех людей вырастают зубы мудрости, а аппендикс вообще является рудиментом. Перед вами 15 частей человеческого тела, которые исчезнут в будущем, потому что они нам больше не нужны.
1. Волосяной покров на теле

Знали ли вы, что брови предохраняют наши глаза от того, чтобы в них попадал пот? А волосы на лице мужчины предназначены для того, чтобы привлечь противоположный пол? А вот остальные волосы на теле, по сути, вообще нам не нужны. Со временем у людей их будет все меньше и меньше.
2. Околоносовые пазухи

Назначение этих частей тела – загадка. Они не приносят ничего, кроме горя в сезон аллергий.
3. Мышцы наружного уха

У некоторых людей эти мышцы отсутствуют, но те, кто их имеет, могут шевелить ушами. Они абсолютно бесполезны, если только вы не охотитесь, и вам не нужно слышать, что происходит вокруг.
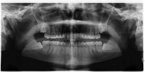
4. Зубы мудрости

Эти зубы раньше использовались, чтобы измельчать пищу, но сейчас для этого у нас есть вилки и ножи. У большинства людей вообще зубы мудрости не вырастают.
5. Шейное ребро

У некоторых людей есть 1-2 добавочных ребра сверху грудной клетки. В наши дни они есть лишь у 1% населения Земли. Скоро они вообще исчезнут.
6. Длинная ладонная мышца

Эта мышца необходима, если нужно лазить по скалам или висеть в течение долгого периода времени, но в наши дни люди не так уж часто делают это.
7. Соски у мужчин

В самом начале своего развития мужские и женские эмбрионы выглядят абсолютно одинаково - именно на этом этапе и появляются соски. Однако в сущности соски мужчинам совершенно ни к чему.
8. Арректор пили

Вам знакомо ощущение мурашек по коже? Именно эта мышца и провоцирует их появление. Ощущение связано с готовностью к бою.
9. Аппендикс

Никто не знает, зачем на самом деле нужен аппендикс, но теорий не счесть. В будущем этот рудимент исчезнет как из нашего словаря, так и из тела.
10. 13-е ребро

У некоторых людей (8% процентов населения) есть дополнительные ребра внизу грудной клетки. Это присуще приматам, и у некоторых людей они есть до сих пор.
11. Пальцы на ногах

Походка человека меняется, и пальцы на ногах становятся уже не так важны. Центр тяжести у нас находится в середине тела, и, согласно исследованиям, в будущем, вероятно, пальцы на ногах не будут нам нужны, чтобы ходить или бегать.
12. Копчик

Копчик – еще одно напоминание о том, что когда-то у человека были лишние части тела, которые впоследствии исчезли.
13. Третье веко

У многих млекопитающих есть третье веко, которое позволяет держать глаз в чистоте. У людей есть его мини-версия в уголке глаза, но возможно, и она вскоре исчезнет за ненадобностью.
14. Дарвинов бугорок

У некоторых людей на верхней части уха есть небольшой бугорок. Говорят, что он улучшает слышимость, но он есть не у всех и, вероятно, исчезнет с приходом будущих поколений.
15. Подключичная мышца

Эта мышца нужна, чтобы передвигаться на четырех конечностях. Но мы этого не делаем, поэтому она нам не нужна. У некоторых людей встречается одна такая мышца с правой или левой стороны, а у некоторых она вовсе отсутствует.
Keşfet ile ziyaret ettiğin tüm kategorileri tek akışta gör!


Напишите комментарий
<3 ➮ ➥ http://naked-girls.online/c/track/l/onedio/1527531